This has been a day.
A few weeks back, Tom went in for a physical, and during the visit, the doctor decided she wanted him to get an abdominal ultrasound. Last Friday, he went in for one, and when he got home he told me that he needed to go back in a few hours to get a CT scan done. There was a dark spot that had shown up on his kidney, and the doctor wanted additional imaging done.
Later last Friday, after the CT scan, he was notified that he needed to see a urologist. When they performed the scan, they used contrast and found that the spot on his kidney was receiving blood.
This started one of the longest weeks of my life. I found myself hoping that whatever it was would turn put to be nothing. Just a weird artifact. The worst part, though, was simply not knowing what we were dealing with and what the next step would be.
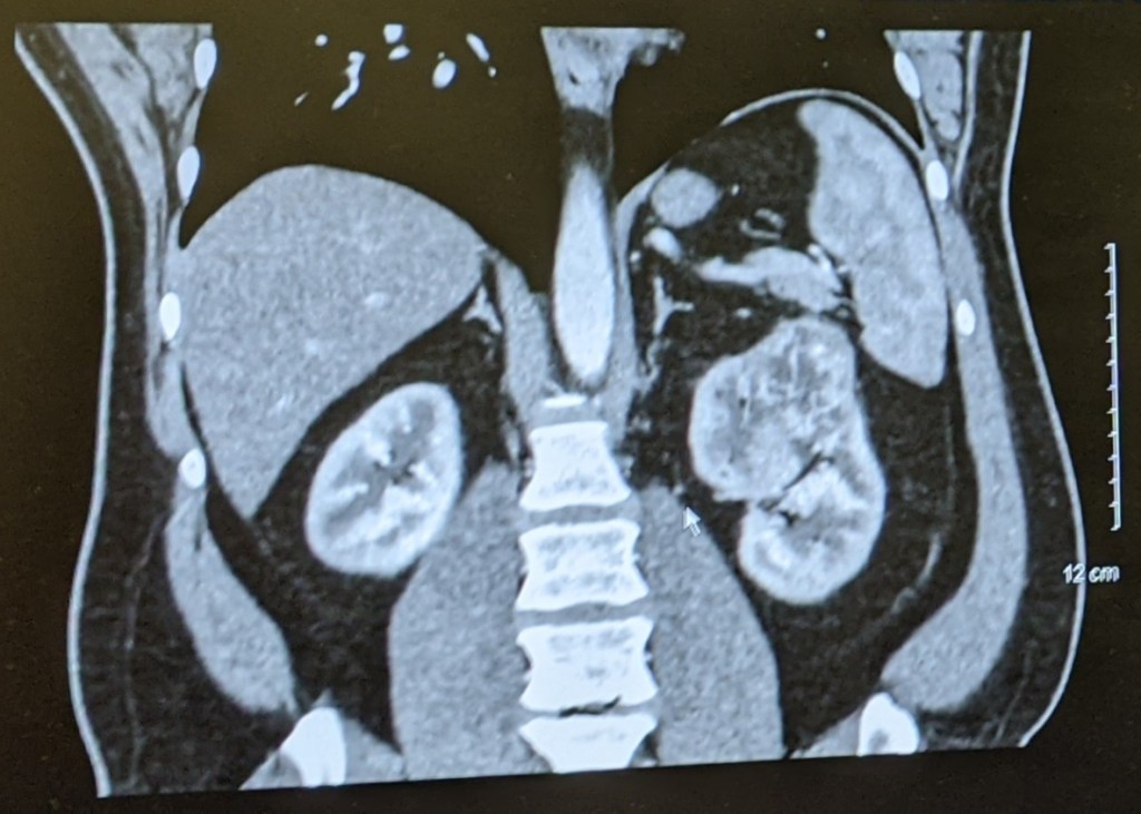
One small thing, before I go further. When Tom explained to me what was on the scan, he said it was a “dark spot.” This did not translate in my brain the way I think he thought it did. Hence my hope that it was just a weird artifact. However, this is actually what showed up. Guess which kidney is the one in question…

He has a tumor. A giant tumor. The urologist said that cancer can’t be officially diagnosed until they can actually take a look at the tumor and kidney. That said, according to the urologist so far this appears to be consistent with kidney cancer. Because the tumor is so large they are going to use the surgical robot and remove his entire kidney on May 13th.
When I was sitting on the phone, listening to Tom meet with the urologist (I had permission, since due to Covid precautions I was unable to be there in person), it was a very surreal experience. Initially, when I heard we were most likely looking at cancer, part of me wanted to return to bed, crawl under the covers, and cry. But that was only a part of me, and turns out it was a small part.
Mostly, I feel relieved. No, cancer is not what I wanted to be the diagnosis. No, I don’t want Tom to lose a kidney. So, how can I feel relieved?
1. Tom has two kidneys. And while one is basically filled with a tumor, the other is a healthy kidney.
2. According to the urologist, based on the imaging, the tumor is solely contained in that one kidney. Nothing has spread to other organs.
3. As of right now, post surgery Tom isn’t looking at chemo, radiation, or other long term meds. He’ll have regular checkups over the next 5 years, but that’s it.
4. Knowing is better than hanging out in limbo. I’m grateful we know what we’re most likely dealing with, and that we have a plan for the next month.
I don’t know what the next five years hold. And after this week, I’m reminded, yet again, that I don’t even know what the next day/weeks/months hold. So, the best I can do is continue to hold onto my faith and be grateful for every single second I get with Tom.



